抗体制备服务|表观遗传学服务|表观遗传学检测|靶点筛选服务|酶学实验服务
询价
产品分类
公司荣誉
公司图片
公司新闻
药物筛选服务|DNA拓扑异构酶|酶学实验服务|激酶谱筛选服务
发布时间:2023-09-04 17:01 | 点击次数:382
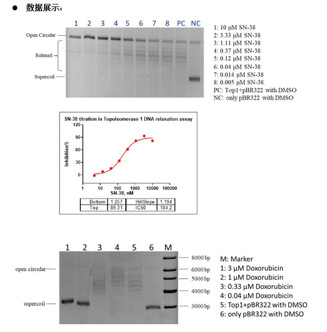
拓扑异构酶I (Topoisomerase I)是一种765个氨基酸残基的蛋白质,由位于20号染色体长臂(q)的21外显子基因1编码。1通过结合超螺旋DNA,切割DNA其中一条链,使其围绕完整链旋转,然后重新连接被切割链,从而松弛超螺旋DNA,在此过程中不消耗ATP。拓扑酶是肿瘤化疗的重要药物靶点,目前临床上广泛使用的抗肿瘤药物,如DNA嵌入剂:柔红霉素、阿霉素等,非嵌入剂:喜树碱、足叶乙甙等经实验证明都是拓扑异构酶的抑制剂,通过抑制酶的活性,干扰DNA的遗传代谢从而发挥抑制肿瘤细胞生长的药理作用。喜树碱结合并稳定 1 DNA切割复合物,从而在复制或转录发生时导致DNA损伤。爱思益普研发团队目前已构建了TopoisomeraseI筛选平台,建立了Topoisomerase I DNA relaxation assay用于筛选I型拓扑异构酶抑制剂。















